近日,第四军医大学唐都医院成功为一名胸骨肿瘤患者整体切除胸骨后换上了“私人订制”的3D打印钛合金胸骨,填补了3D打印钛合金胸骨置换手术的空白。
2014年6月,54岁的顾女士在其家乡河南洛阳体检时被诊断为胸骨肿瘤,随后肿瘤组织不断长大,进而由于肿瘤压迫产生了疼痛、胸闷、气短等症状。顾女士在家人的陪同下四处求医问药,然而大多数医院表示只能切除胸骨。2015年4月,顾女士慕名来到第四军医大学唐都医院。

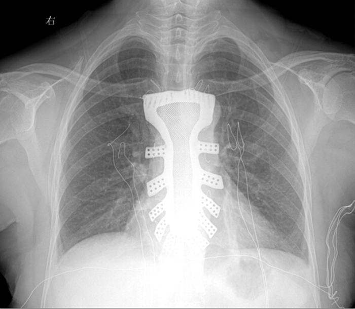
据唐都医院胸腔外科副主任王小平教授介绍,到医院检查后,发现患者胸骨肿瘤直径约6-7cm,已经产生了压迫症状。
“传统的胸骨切除手术后,患者的前胸部位会出现一个巨大的缺损,心脏就失去了‘防护’墙,拥抱一下都有可能伤及心脏。”王小平教授说,由于传统的胸骨切除术会对患者的呼吸功能、外观以及安全性等造成严重影响,所以经过充分的病情研讨和与患者的沟通,专家组提出一个大胆的想法,决定运用3D打印技术,为患者量身定制一个3D打印钛合金胸骨进行置换。

据王小平教授介绍,唐都医院3D打印小组经过精密计算患者胸骨的大小、形状等,充分研究讨论,历时一周,为患者设计出了手术使用的3D胸骨模型,并与西北工业大学凝固技术国家重点实验室合作,为患者打印出了1:1钛合金胸骨模型。随后,又对该模型进行了一系列严密的医学处理。

“手术历时2.5小时,对患者的胸骨进行了整体切除,置换了钛合金胸骨,目前患者恢复良好,未发现任何并发症。”王小平教授称,根据专业机构检索,该手术是世界首例针对胸骨肿瘤疾病,将3D打印的可植入性钛合金胸骨植入人体,实现病变胸骨的整体置换的手术。该手术的成功意味着未来将会为更多的胸骨肿瘤患者带来福音。
“现在感觉和生病前没什么区别。”7月8日,记者在唐都医院病房见到顾女士时,她气色很好,有说有笑。除了胸前留下一条长长的疤痕外,从外表看与健康人没什么两样。

参与此次3D钛合金胸骨设计的唐都医院3D打印团队王臻博士表示,此次尝试是3D打印技术与外科手术的一次完美结合。3D打印的个性化服务与医学有着天然的联系,目前3D打印技术在医学上的研究越来越广泛,为医学的未来发展提供了无限可能。